新浪育儿

专家问答:儿童牙医朱涛答孩子牙齿变黑了怎么办

新浪育儿

关注

口腔健康,从娃娃抓起。想要孩子有一口坚固、洁白而漂亮的牙齿,必须从儿童时期开始关注。宝宝换牙期要如何护理口腔?如何预防龋齿?家长怎么给孩子刷牙?出现问题该不该去看牙医……做为新手父母,孩子牙齿问题该如何关注?北京大学口腔医学院儿童口腔科牙医朱涛就“儿童牙齿保健及护理”的相关问题做了互动回答。

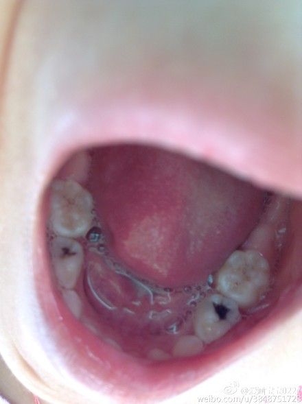
@用户:孩子两岁八个月,牙齿变黑了,去诊所问了下说是要从牙齿上钻眼然后放上药,觉得特别恐惧,该怎样正确治疗和护理呢?望你回复

儿童牙医朱涛:看上去像是蛀牙,但只凭看还不能诊断。蛀牙根据轻重治疗方法不同,若不涉及牙髓,去腐充填即可,若累及牙髓治疗比较复杂,建议去比较好医院或诊所检查治疗。

加载中...