新浪育儿 养育百科

脑发育畸形的孩子通过早期干预能使宝宝发育正常吗?

新浪育儿

关注

脑发育畸形的孩子通过早期干预能使宝宝发育正常吗?

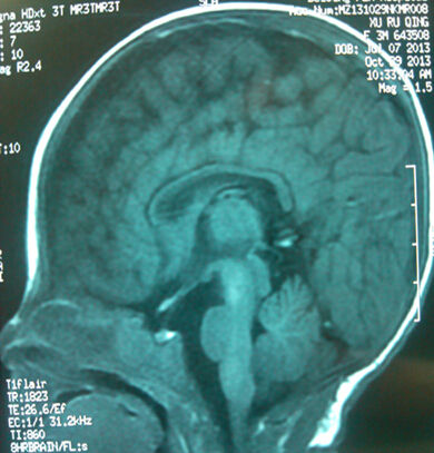
这是一位男孩,37周,于2012.5.23剖宫产,出生体重2700克,出生时无窒息,生后4天来就诊。头颅MRI显示颅内出血Ⅲ°,胼胝体缺如。开始指导早期干预。3个月29天视听反应好,头竖立时晃动,余神经运动检查未见异常。10.5月视听反应好,头竖立时晃动,余神经运动检查未见异常,智测DQ84.5。1.5岁时,独走自如,能说单词,神经运动检查未见异常,智测DQ96.3。

胼胝体是大脑左右半球联系的神经纤维组成的大脑重要结构。上面报告的病孩出生时胼胝体缺如。但是,他到1.5岁时运动和智力完全正常。大脑就有这么神奇的代偿能力。

本文摘自由作者鲍秀兰授权的《婴幼儿养育和早期干预实用手册》一书

加载中...