爱护牙齿 限糖减酸
新浪育儿
2020年“全国爱牙日”的宣传主题是“口腔健康 全身健康”,副主题是“均衡饮食限糖减酸,洁白牙齿灿烂微笑。今天,咱们就关注一下这个“限糖减酸”的问题。
在”细菌、宿主 、糖和时间”致龋四环学说中,糖是重要的一环。牙齿表面所附着的菌斑中有大量细菌,细菌可以利用食物中的糖,代谢产酸。在酸的长期腐蚀下,牙齿出现脱矿,日久结构崩塌便形成龋洞。
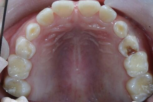
通过这些年的科普工作,“少吃糖,吃糖会蛀牙”几乎成了妇孺皆知的共识。然而,大众对于“糖”的认知还停留在非常浅的层面。在我们的门诊,询问病史的同时要了解孩子的饮食习惯,当问到孩子是 否经常吃甜食,喝饮料?往往得到的回答是否定的。糖会导致蛀牙,家长对其高度警惕,奶糖、巧克力几乎从来不给孩子吃;听说碳酸饮料很毁牙,也对孩子进行了严格控制。听起来孩子的饮食习惯似乎控制得不错,然而,面对孩子们一嘴的坏牙(图1),困惑的大夫决定好好“发掘”一下,结果发现孩子们每日的零食真是五花八门!除了睡觉,小嘴巴几乎就不闲着。曲奇、蛋糕这些甜点是小明的最爱 ;小花夏日未到,就一天吃好几次冰淇淋;球球的奶奶怕宝贝孙子“上火”咳嗽,每天早晨会给他熬上一锅冰糖雪梨汤;小可最喜欢吃柑、橙之类的水果,一天四五个都打不住,妈妈还经常给她榨橙汁喝……这样的例子多得不胜枚举,几乎每个有龋齿的孩子身上,都能发掘出一篇丰富多彩的“零食故事”。
图1 5岁儿童,多颗牙龋坏
我们分析一下,上面几个例子之中,孩子们日常的零食、饮料乃至纯天然的水果虽然不是狭义上的“糖果”,但都含有大量的糖。孩子们口腔中总有食物的残留,不断地给细菌提供糖分,长此以往,他们的牙齿怎能不龋坏呢?所以,希望大家能够意识到“隐形糖”的危害,控制零食的摄入。一定要帮助孩子养成正餐之间集中吃零食的习惯,这样不但对保护牙齿有利,还能减少零食的总量。同时,要注意吃零食的顺序:第一梯队应该是比较“粘牙”的糖果、点心、葡萄干、酸奶等食物;第二梯队有肉干、鱼干、豆腐干、坚果、薯条、薯片及一些膨化食品,适当的咀嚼刺激有利于颌骨发育及牙齿排列整齐。最后,应该吃一些爽脆的水果、蔬菜,如:苹果、梨、小番茄、萝卜及黄瓜等收尾,有利于牙齿的自洁,令口腔变得相对清爽。另外,孩子的日常饮水应该尽量为清水,远离各种甜饮料,这其中包括市售的饮料以及家庭自制的饮品。如果有养生保健方面的特殊需求,比如:喝蜂蜜水润肠,喝梨汤润肺等,也建议像喝中药那样“顿服”,每天1、2次,不能将其作为日常解渴之用。
说完“限糖”的问题,我们再把目光转向“酸”。既然龋齿是由细菌利用糖代谢产酸所导致的,那么食物中固有的酸对牙同样具有腐蚀作用。日常食物中醋、酸味的水果及其加工制品、碳酸饮料等食物中含有大量的酸,PH值很低,会对牙釉质造成直接的腐蚀。柑、橘、橙、柚等酸甜口味的水果,山楂片、山楂糕、西梅、话梅之类的小零食以及多数碳酸饮料中还含有大量的糖,对牙齿会产生双重的损害。这些年来,柠檬、百香果等水果及其制成的饮品受到了普遍的欢迎,许多少年儿童把柠檬水、百香果水当成常规饮品,每天带去学校喝。此次新冠疫情期间,人们居家时间较长,饮食及口腔清洁等方面的生活节律被打乱。暑假时口腔门诊出现了不少龋齿伴发酸蚀症(图2以及图3)或者多颗牙集中龋坏的病例。这些孩子几乎都有对碳酸饮料、酸性饮品,酸性水果及休闲零食的偏好。
图2 牙齿酸蚀症和龋齿
8岁儿童,全口多牙严重酸蚀,牙尖缺损甚至出现凹陷,左上后牙出现继发龋。
图3 牙齿酸蚀症和龋齿
12岁儿童,前牙切端及边缘嵴釉质明显磨秏变薄,左上前牙出现邻面龋坏。
所以,保护牙齿一定要从日常饮食控制做起,除了“限糖”还需注意“减酸”。
北京大学口腔医院儿童口腔科 马文利
本文作者:北京大学口腔医院儿童口腔科 马文利